九游娱乐新闻
News
事情要从1974年说起,当时二十岁出头的A子入职了资生堂,她每天被派到仙台的药店给顾客化粉底、推销爽身粉。

一晃50多年过去,时间来到了2024年1月,已经七十多岁的A子感到身体明显不适。

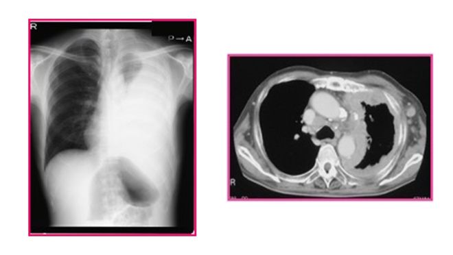
2024年4月,她去仙台市医院检查,一张弥漫性恶性胸膜间皮瘤的诊断书给她的人生画上了句号。
医生明确表示,这种病的主要诱发因素是石棉,而A子接触石棉的源头大概就是当年工作中天天打交道的粉底和爽身粉。

2024年8月,年迈的A子拖着病体提交了工伤认定申请,可仅仅两个月后,她就不幸离世。
直到2025年12月,仙台劳动基准监督署才正式作出工伤认定——确认A子当年工作时很可能吸入了化妆品中混入的石棉。
滑石的主要成分是硅酸镁,质地顺滑。粉底、眼影里加它能让质感更细腻,可滑石矿脉和石棉矿脉是邻居,很容易在开采滑石时混进石棉杂质。

从资料中查到,1946年到1975年,日本化妆品产值从5亿日元暴涨到5132亿日元,增速比同期GDP还高。

“如果被认定受害的并非生产部门人员,而是销售人员,那日常使用这款化妆品的人,至少也会接触到同等剂量的有害物质。”▽


1975年才禁止石棉喷涂,1995年禁止部分石棉,直到2012年才全面禁止。
除了化妆品,日本90%以上的滑石都用在建材、涂料、橡胶领域,就像东京的中银胶囊塔,建造时用了大量石棉,拆除时清理成本极高,还存在纤维泄漏的风险。


潜伏期极长,通常要20到40年,甚至更久。等出现症状时,基本已经到了晚期。


目前日本针对弥漫性恶性胸膜间皮瘤的治疗手段主要是手术、化疗和靶向治疗,虽然纳入了医保,但治疗过程十分痛苦。
国际癌症研究机构早在1987年就把石棉列为了A级致癌物——石棉吸入人体后会附着在肺部,除了间皮瘤,还会引发肺癌、石棉肺。

当年和A子一样接触石棉的从业者可能还有很多,只是他们的“定时炸弹”还没到爆炸的时候...

特别声明:以上内容(如有图片或视频亦包括在内)为自媒体平台“网易号”用户上传并发布,本平台仅提供信息存储服务。
85万元买的玛莎拉蒂汽车故障后更换发动机,6年后车主才发现4S店换上的是老旧拆车件!法院判了:构成欺诈
上海一女子“闪婚”拿到价值近千万房产99%份额,“闪离”后起诉分割房产,法院判了!
航班在美国发生事故后加拿大航空公司CEO仅用英语发表讲话,加总理批:我非常失望
独家:某运营商2025年营收几乎0增长! 好日子快到头了! 其实三大运营商日子都那样!
浙江男子马达加斯加开“手机网吧”爆火:全天候营业,收费1.5元/小时,每天约200人次来玩
1499 iQOO Z11系列发布丨9020mAh电池 165Hz高刷
vivo X300 Ultra核心参数公布,“很Ultra的顶配旗舰”








